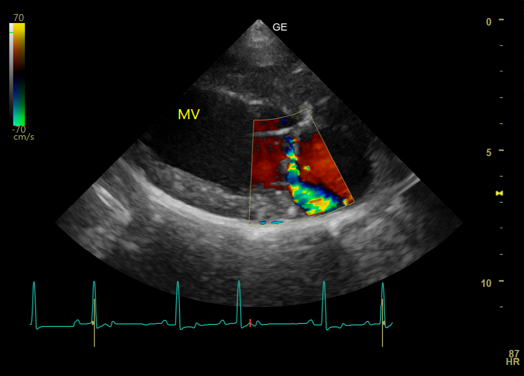
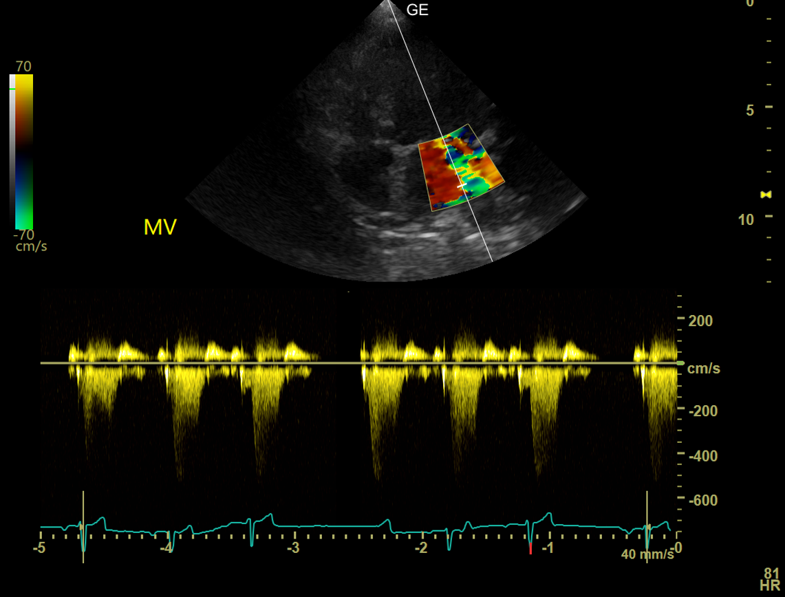
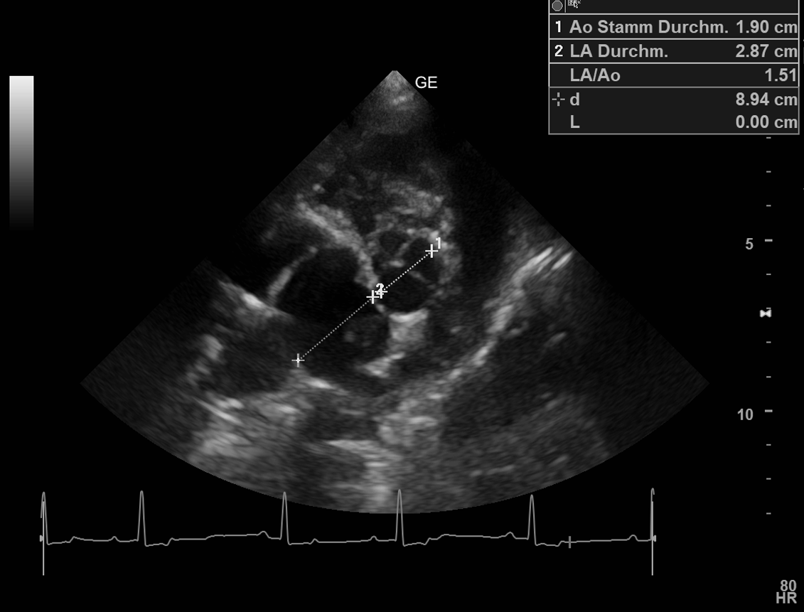
Leidet Ihr Tier an einer Herzerkrankung, kann diese mittels Auskultation (Abhören des Herzens) erkannt werden. Sind während der Auskultation des Herzens pathologische Geräusche des Herzens hörbar, empfiehlt sich eine Herzultraschalluntersuchung, die im Kleintierzentrum Landwasser routinemäßig durchgeführt wird. Dies ermöglicht eine genaue Diagnose des Herzleidens. Eine Sedierung des Tieres ist nicht notwendig und Sie können bei der Untersuchung selbstverständlich dabei sein. Wir haben mehrere Ultraschallköpfe zur Verfügung, um die kardiologische Untersuchung angepasst an die Größe Ihres Tiers durchzuführen. Mittels Farbdoppler können Blutströmungen in allen vier Herzkammern farblich dargestellt werden. Treten Undichtigkeiten der Herzklappen, pathologische Turbulenzen, Form- oder Größenveränderungen der Herzwand oder angeborene Herzdefekte auf, werden diese im Herzultraschall diagnostiziert und in ihrer Schwere klassifiziert, damit eine optimale Therapie gefunden werden kann.
Die Herzultraschalluntersuchung lässt sich mit der Röntgen- und Blutuntersuchung (Herzenzyme) kombinieren, um eine präzise Diagnosestellung zu gewährleisten.





